교정 병원에 내원하는 환자 중에 외상에 의해 치아가 상실되었거나 충치 등으로 손상이 심하여 발치를 해야 하는 경우를 종종 보게 됩니다. 이가 없거나 손상이 심하여 발치가 요구되는 경우 가장 먼저 떠오르는 치료법은 임플란트입니다. 임플란트는 비교적 짧은 기간에 인접 치아를 손상시키지 않으면서 상실된 치아를 수복하는 가장 좋은 방법이라고 생각합니다. 하지만 임플란트도 인공 매식물이므로 자연치에 비해 우수하다고 할 수는 없습니다. 따라서 조건만 허락된다면 본인의 치아를 이용하여 수복하는 것이 좋습니다.
환자 본인의 치아를 이용하여 상실된 치아를 대체하는 방법에는 자가치아이식 방법과 교정에 의한 인접치의 이동 등이 있습니다. 이번 칼럼에서는 교정적 치아 이동에 의한 상실치아 대체 방법에 대해 설명하고자 합니다.

상기 환자의 #26 치아는 신경치료 후 금니를 씌워 사용하다가 금니가 탈락한 상태입니다. 정확한 원인은 알 수 없지만 아마도 2차 충치에 의한 것으로 사료됩니다. 방사선 사진에서 보시다시피 치아가 파절된 부위가 잇몸 밑으로 위치하므로 금니로 재수복 하기는 매우 어려운 상황입니다. 발치가 요구되며 임플란트 수복 시 양호한 결과가 기대되는 경우입니다.
하지만 이 환자는 #27이 건전하고 #28의 맹출 방향이 양호하여 두 치아를 전방으로 견인하여 사용하기로 하였습니다.

#27 치아를 전방으로 견인하는 방법은 다양합니다. 이 환자는 loop mechanic (Anti-rotation, Anti-tip band 부여)을 이용하여 견인하고 있으며 #27의 전방 견인에 의한 반작용으로 #24, 25가 후방으로 딸려가는 것을 막기 위해 #24, 25 치아는 교정용 Mini-implant를 이용하여 고정해 주었습니다.
#27 치아가 점점 전방으로 견인되는 것을 볼 수 있습니다. Mini-implant로 고정한 #24, 25 치아는 반작용에 의한 이동이 없습니다. 이는 #23과 24사이 공간이 넓어지지 않은 것을 통해 알 수 있습니다. 방사선 사진은 #27 전방 견인 완료 후 장치제거하고 촬영한 것입니다. Band space가 남아있지만 이 부분은 #28의 맹출력에 의해 폐쇄될 것으로 기대됩니다.

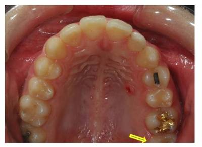
전방 견인장치 제거 8개월 후 재발을 우려하여 유지하고 있던 Mini-implant도 제거하였습니다. #28 (화살표) 치아가 맹출하면서 #27전방에 남아있던 Band space도 소실된 것을 볼 수 있습니다.
첫 번째 케이스와 비슷한 경우입니다. #26 치아가 신경치료 중이고 #27이 건전합니다. 또한 #37이 결손 되어 상악 좌측에 대구치는 하나만 요구되는 상황입니다. 따라서 예후가 불량한 #26을 발거하고 대신 #27을 전방 견인하여 사용하기로 했습니다. 이 부위 이외에도 교정치료가 필요한 부분이 많았지만 환자와 보호자분이 #26 부위만 치료를 원하시어 부분교정만 시행한 경우입니다.

역시 반작용 억제를 위하여 #24, 25는 교정용 mini-implant를 이용하여 고정하였으며 loop mechanic을 이용하여 전방견인 하였습니다.

견인 완료 후 3개월간 관찰하다가 재발 경향이 없는 것을 확인하고 Mini-implant와 교정 장치를 제거하였습니다.
두 가지 경우에서 본 것처럼 적당한 조건이 성립하는 경우 인접 치아의 이동에 의한 상실치의 대체는 좋은 치료 옵션이 될 수 있습니다. 여기서 말하는 적당한 조건이란 우선 인접치아가 건전해야 합니다. 다음으로 인접 치아를 이동해 왔을 때 대합치 부위에 교합이 유지 되어야 합니다. 예를 들어 하악 제1대구치가 결손되어 인접해 있는 하악 제2대구치를 전방으로 견인하는 경우 반대 악궁에 있는 상악 제2대구치는 대합치를 상실하는 경우가 많습니다. 따라서 이런 경우는 하악 제1대구치 부위에 임플란트 보철을 시행하는 것이 바람직합니다. 마지막으로 교정치료에 따른 추가적 비용 및 시간에 대한 동의가 이루어져야 합니다.
위의 두 가지 경우와는 약간 다른 경우로 손상된 치아를 최대한 이용하여 보철을 진행하는 경우가 있습니다. 외상이나 충치에 의해 치관 (치아의 머리)손상이 잇몸 밑으로 진행된 경우 보철을 위한 기둥을 세울 수가 없으므로 발치 후 임플란트가 필요하게 됩니다. 이때 손상된 치아의 뿌리가 건전하다면 이 치아를 끌어 올려서 보철을 할 수 있도록 해주는 방법을 Forced eruption이라고 합니다. 치관부가 손상된 치아이긴 하지만 역시 자연치이므로 임플란트보다는 훨씬 좋은 치료방법이라고 할 수 있습니다.

상기 환자는 #22 치아의 보철물이 파절되면서 치관부가 손상되어 재보철이 어려운 상황이었습니다. 방사선 소견에서 치근단에 염증 소견이 보이기는 하지만 치근이 충분히 길다고 판단되어 (왼쪽 사진) 발치 대신 Forced eruption에 의해 끌어 올린 후 재보철 하기로 하였습니다. 먼저 재신경치료를 시행하였으며 (중간 사진) 치근단 병소가 줄어드는 것을 확인하는 동안 임시치아를 인접치에 부착하여 심미적 부분을 개선해 주었습니다 (오른쪽 사진).

Forced eruption을 시행하여 치관부를 충분히 노출시켰습니다 (왼쪽- 치료시작, 오른쪽-치료 후). #11과의 치근단 위치관계를 관찰하면 정출량을 확인할 수 있습니다.

보철치료가 마무리 된 사진입니다. 방사선 사진에서 치근단 염증이 소실된 것을 볼 수 있으며 구내사진에서 심미적인 보철물을 확인할 수 있습니다.
앞에서 언급한 바와 같이 치아가 상실되거나 손상이 심하여 발거가 요구되는 경우 우선적으로 임플란트 수복이 고려될 수 있습니다. 하지만 인접치가 건전하거나, 손상된 치아의 뿌리가 충분히 긴 경우 교정치료를 통해 자연치를 이동시켜 줌으로써 치료가 가능합니다. 교정치료가 성공적으로 마무리된 경우 이는 임플란트보다 훨씬 좋은 결과를 얻을 수 있습니다. 임플란트와 자연치의 가장 큰 차이는 치주인대의 유무입니다. 자연치 치근에 존재하는 치주인대는 고유의 감각세포가 존재하여 씹는 느낌을 훨씬 좋게 해주고, 씹는 힘을 완충시켜 장기적 예후도 훨씬 좋게 해줍니다. 발치는 비가역적인 치료이므로 매우 신중히 결정해야 할 것입니다.

글: 윤순동
보건복지부장관인정 교정전문의
미국치과교정학회(AAO) 인터네셔널 멤버
세계치과교정의사연맹(WFO) Fellow
대한설측교정학회 회원
Damon User group 정회원
조선대학교 치과병원 교정과 인턴, 레지던트
연세대학교 대학원 치의학박사과정 (교정학 전공)
전) 연세우일치과병원 교정과 과장
현) 가지런e 교정치과 네트워크 원장(천안)







