가끔 일반인들과 대화하다 보면 치과에 10개의 전문 파트가 존재하는 것을 모르는 경우가 많습니다. 이와 같이 치과 진료가 세분화, 전문화된 것은 그 만큼 각 분야의 진료 범위가 다양하고 한 명의 치과의사가 이 모든 분야를 전문적으로 치료하기는 어렵기 때문입니다. 치과 재료나 치료 술식이 고도로 발달한 요즘에는 더더욱 그렇습니다. 따라서 한 환자를 치료함에 있어 최상의 결과를 얻기 위해서는 각 과의 협진이 필수적입니다. 이번 칼럼에서는 교정치료와 관련된 협의진료의 종류에 대해 설명 드리고자 합니다.
교정과와 다른 과가 협진을 하는 가장 대표적인 경우는 어금니가 상실된 후 오랜 기간 방치되어 인접하는 치아들이 기울어진 경우입니다. 이런 경우 바로 보철치료나 임플란트가 들어갈 수 없으므로 교정치료를 통해 쓰러진 치아를 원래 위치로 되돌려 주어야 합니다.

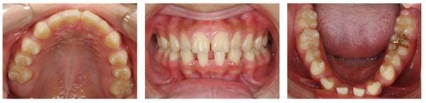
38세 남자 환자로 #46 상실에 의한 #47의 전방경사로 공간이 소실된 환자입니다. #46 부위 임플란트 보철을 위해 어금니를 바로 세우는 치료를 진행하였습니다. 임플란트 보철이 마무리되는 데까지 8개월 소요되었습니다.
교정과 협진이 필요한 두 번째 경우는 심미적 보철을 위한 전치부의 공간 재분배입니다.
상기 환자는 하악 2전치가 결손된 경우입니다. 상, 하악 전치부에 걸쳐 공간이 산재하여 보철치료를 진행하기가 매우 어려운 상황입니다. 따라서 교정치료를 통해 상악은 공간을 폐쇄하고 하악은 양측 측절치 부위로 공간을 모아줌으로써 임플란트 보철을 위한 공간을 재형성해주기로 하였습니다.
상악 치열에 산재하던 공간을 모두 폐쇄하였으며, 하악의 공간은 결손된 측절치 부위로 모아 이 부위에 mini-implant를 식립할 수 있게 되었습니다. (골이식과 동시에 진행함)

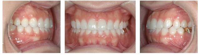
앞니가 거꾸로 물리지만 구치관계는 정상적인 관계를 보이는 환자입니다.

특징적인 것은 상악 전치들이 작아 (특히 측절치) Bolton Ratio가 조화롭지 못하다는 점입니다. 따라서 이 환자는 거꾸로 물리는 앞니를 개선하고 나면 치아 사이에 공간이 남을 것으로 예상됩니다.

따라서 교정치료 완료 후 상악 전치부에 심미보철을 시행하여 치아 크기를 키워줌으로써 정상적인 전치관계를 형성할 수 있었습니다.

치아 크기는 정상이지만 치아 사이에 공간이 커서 그냥 보철을 진행하면 치아가 너무 크게 나오는 경우도 있습니다. 이런 경우 교정치료를 통해 공간을 축소하여 심미적인 보철물을 유도해 주어야 합니다.
반대로 치아 사이가 겹쳐있어서 바로 보철치료를 진행하면 치아가 너무 작게 형성되는 경우도 있습니다. 이런 경우 교정치료를 통해 공간을 확보해주어야 정상적인 심미보철물을 얻게됩니다.
위에서 본 경우들은 다른 과의 치료를 위해 교정치료가 필요한 경우였습니다. 반대로 교정치료를 위해 다른 과의 도움이 필요한 경우도 있습니다. 가장 대표적인 경우가 턱관절이 안 좋은 환자를 교정치료 하는 경우입니다.
위 앞니의 돌출을 해소하기 위해 교정과에 내원한 환자입니다. 양측 턱관절에서 Crepitus sound (자갈 갈리는 소리)가 느껴지고 개,폐구 시 불편감을 호소하고 있었습니다.
구강내과에 의뢰하여 턱관절 안정장치 치료를 받은 후 재내원 했을 때의 구내사진입니다. 초진사진과 비교하여 교합상태가 많이 변한 모습을 볼 수 있습니다. 이런 환자를 초진시의 교합상태를 기준으로 치료계획을 세운다면 치료과정에서 매우 당황스런 상황에 처하게 됩니다. 턱관절이 안정된 상태에서 재진단하여 치료계획을 수정한 후 치료를 진행한 경우입니다.
다른 과의 도움이 필요한 다음 경우는 치아의 노출이 안 되어 교정장치 부착이 어려운 경우입니다. 이런 유형의 가장 대표적인 경우는 매복된 치아가 있는 경우입니다.
#13, 23 치아가 이소맹출된 경우입니다. 양측 유견치를 발거하고 원래 위치로 견인하기로 하였습니다.
이런 경우 #13, 23 치아에 견인력을 부여하기 위해서는 외과의사의 도움이 필요합니다.
이상에서 보여드린 경우 이외에도 발치, 충치치료, 악교정 수술등과 같이 다른 과와 협진이 필요한 교정치료 종류는 다양합니다. 교정과 뿐만 아니라 다른 과들도 최상의 결과를 내기 위해서는 적극적인 협진이 필요합니다. 진료를 하다보면 가끔 너무 한 과의 특성만을 살려서 진료하려고 하는 경향이 있을 수 있습니다. 자신의 환자에게 최상의 결과를 내기 위해서는 각 과의 진료분야에 대한 공부를 게을리 하지 말고, 필요 시 다른 과 전문의와 협진을 시행하는 것이 바람직합니다.

글: 윤순동
보건복지부장관인정 교정전문의
미국치과교정학회(AAO) 인터내셔널 멤버
세계치과교정의사연맹(WFO) Fellow
대한설측교정학회 회원
Damon User group 정회원
조선대학교 치과병원 교정과 인턴, 레지던트
연세대학교 대학원 치의학박사과정 (교정학 전공)
전) 연세우일치과병원 교정과 과장
현) 가지런e 교정치과 네트워크 원장(천안)







