
잇몸이 붓거나 양치할 때 피가 나는 현상을 아프지 않다는 이유로 심각하게 생각하지 않고 간과하는 경우가 많다. 하지만 이는 잇몸이 우리에게 보내는 긴급 구조 신호로서, 치료를 위한 골든타임을 놓치면 치아를 잃을 확률이 높아진다.
우리나라 국민의 ‘치은염 및 치주질환’ 환자수와 요양급여비용총액은 꾸준히 증가하여, 2019년 건강보험심사평가원에서 발표한 ‘외래 다빈도 상병 통계’에서 줄곧 1위를 차지하던 ‘급성 기관지염(감기)’을 밀어내고 1위를 차지했다.
치주질환은 주로 구강 세균이나 세균 유래 물질에 의해 발병하는데, 발병 후 혈류 내로 이들이 침투하여 당뇨, 심혈관질환, 암 등을 포함한 심각한 전신질환을 일으킬 수 있기 때문에 치료뿐만 아니라 평소 철저한 구강관리를 통한 예방이 중요하다.
치주질환이란?
치주질환은 치아를 유지하는 치아 주위 조직인 치은(잇몸), 치주인대, 치조골에서 일어나는 염증 질환으로서 조용한(Silent), 사회적인(Social), 예방 가능한 병(Self controllable disease)이라 하여 흔히 ‘3S 병‘이라 일컫기도 한다. <위 그림>
치주질환의 원인은 ’치태‘와 ’치석‘이다. 구강 내 세균과 음식물에 의해 치태가 형성되고, 제때 제거되지 않은 치태는 치석을 형성하여 치주질환을 유발한다. 세균들이 분비하는 물질은 잇몸에 염증반응을 일으키며, 이로 인해 잇몸이 붓고 피가 나는 증상을 보이게 된다.
초기에 잇몸에만 국한된 염증을 ’치은염(Gingivitis)‘이라고 하며, 적절한 치료가 되지 않아 염증이 심해지면 ’치주염(Periodontitis)‘으로 발전하게 된다. 이때에는 치조골 파괴와 치은퇴축(잇몸조직의 상실로 인해 치아뿌리가 노출되는 것)이 일어나게 되며 심한 경우 치아동요(치아가 좌우 또는 상하로 흔들리는 것)를 유발하고 결국 치아상실까지 초래한다.

치주질환의 증상은?
치주질환의 초기 단계인 치은염은 잇몸 색깔이 빨갛게 변하고 붓거나, 양치시 피가 나는 증상을 보인다. 초기에는 염증이 잇몸에만 국한되어 스케일링 등 간단한 치료만으로도 회복이 가능하다. 하지만 치은염의 경우 대부분 통증을 유발하지 않기 때문에 환자들이 치과를 방문하지 않아 골든타임을 놓치게 되고, 치주염으로 발전하는 경우가 많다.
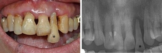
치주염은 염증이 잇몸을 넘어서서 치조골까지 확장되어 치아가 흔들리며 잇몸이 내려가게 되고, 시리거나 음식을 씹을 때 힘이 없는 느낌 또는 통증이 발생한다. <위 사진>
대부분의 환자들은 치아가 흔들리거나 통증이 발생한 후에야 치과에 방문하는데, 이런 경우 이미 적절한 치료시기가 지나서 치아를 뽑아야 하는 안타까운 상황이 발생하는 경우가 많다.
이처럼 치주질환은 조기 진단 및 치료의 시기가 중요하므로, 정기검진과 스케일링을 통해 예방하는 것이 중요하다. 2013년부터 국민구강건강 증진을 위해 연 1회 스케일링 보험급여 적용이 되므로 정기적으로 치과를 방문하여 구강관리를 하는 것이 필요하다.
치주질환과 전신질환과의 상관관계
치주병원균은 혈류를 통해 다른 조직이나 기관으로 이동이 가능하기 때문에 전신질환과 함께 고려되어야 한다. 당뇨병, 심혈관계질환(고혈압 등), 만성호흡기질환이 이에 해당한다. 이 질환들은 치주질환과 함께 대표적인 비감염성질환(전염성 병원체에 의해 유발되지 않으며, 장기간 지속되고 천천히 진행되는 만성질환)으로 분류되며 흡연·음주·운동부족 등이 주요 공통 위험인자로 알려져 있다. <아래 그림>
연구 결과들에 따르면 치주질환이 있는 경우 당뇨병(2형)은 1.5~2.3배, 심혈관 질환 1.1~2.4배, 만성호흡기질환 1.1~2.0배로 증가하는 것으로 보고되고 있으며, 세계보건기구(WHO)에서는 공통위험인자 조절을 통해 치주질환 및 전신질환의 통합적인 예방·관리에 적극적으로 앞장서고 있다.

치주질환의 치료 및 예방
치주질환의 치료는 크게 비수술적 치료와 수술적 치료로 나뉜다. 비수술적 치료는 스케일링, 치근활택술이 대표적인 기본 술식이며, 치태와 치석을 제거하여 치은 염증을 해소하고 재부착을 방지한다.
수술적 치료는 치은소파술, 치은절제술, 치주판막술, 치주성형술, 치주조직재생술 등이 포함되며, 잇몸 절개를 통해 시야를 확보하여 치주치료를 효과적으로 시행할 수 있으며, 조직재생 효과를 도모할 수 있다.
치주치료를 했음에도 불구하고 심한 치조골 파괴 및 치아 예후불량으로 발치하는 경우에는 임플란트를 통해 저작 기능을 회복할 수 있다. 도 치주치료를 했더라도 자가구강관리(올바른 칫솔질, 치실·치간칫솔 사용 등)가 미흡하면 언제든 치주질환이 재발할 수 있으므로, 상태에 따라 3~6개월 간격으로 치과에 방문하여 유지관리치료를 받는 것이 필요하다.

조영단 교수는
우리나라 최초의 의과학자양성 프로그램(DDS-Ph.D.)을 이수하고,
미국 미시간치과대학 연구원 및 임상교수를 거쳐 현재
서울대학교치과병원 치주과 교수로 재직중이다.
