
강한 내구성과 합리적 가격으로 인기몰이
과거 치아교정은 높은 치료비용, 긴 치료기간, 다소 흉한 보철물 등으로 교정이 필요한 중증 환자들 조차도 접근하기 어려웠다. 그러나 최근 외모에 대한 관심이 높아지고 치아교정방법이 발전하면서 치아교정을 하는 사람들이 늘고 있다.
특히, 자가결찰방식 교정은 기존의 일반교정보다 심미적으로 우수하고 치료기간이 짧아 환자들에게 인기 있는 교정방식이다. 또한, 불과 몇 년 전까지만 해도 비싼 수입 브라켓이 자가결찰교정의 대부분을 차지하고 있었으나 오스템임플란트(주)(제조사:휴비트(주))의 'WOW Advanced'와 'YES'등 품질 좋은 국산 브라켓이 잇따라 출시되며 가격경쟁력까지 갖춰 교정시장에서 인기몰이 중이다.
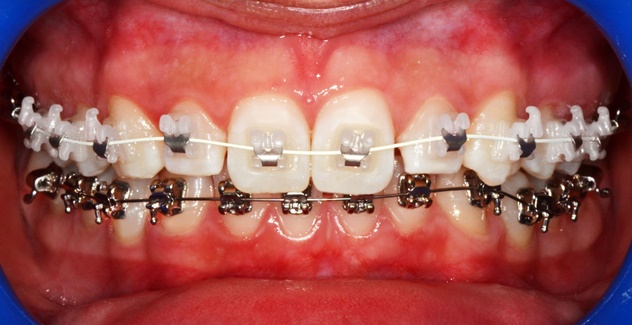
오스템의 세라믹 자가결찰 브라켓 ‘WOW Advanced’<사진 왼쪽>는 Ceramic Injection Molding 공법을 이용해 바디의 내구성을 강화하고 정밀성과 투광성을 높인 것이 가장 큰 특징이다. 특히, 세라믹 소재의 한계로 인식되어온 파절현상을 최소화해 기존보다 더욱 강해진 강성을 구현했으며 세계 유수의 제품과 비교해 동등 이상의 내구성을 자랑한다.
또한, 인체 공학적 설계를 사용자 편의성을 높였다. 곡선형태의 디자인으로 환자가 느끼는 이물감을 최소화했으며, 형상기억합금으로 제작된 Cap은 로듐 코팅으로 바디와 자연스럽게 어우러져 심미적으로도 뛰어나다.
이밖에도 베이스에 알루미나 특수코팅이 입혀, 치아 표면에 부착 시 탁월한 접착(본딩) 효과로 교정완성도가 높다.
WOW Advanced는 타 세라믹 자가결찰 브라켓에 비해 합리적인 가격으로 공급되어 개원가의 인기가 점점 높아지고 있는 제품이다.
메탈 재질의 자가결찰 브라켓인 'YES’<사진 오른쪽>는 ‘WOW advanced’의 메탈 버전이다. ‘WOW advanced’의 장점을 그대로 가지고 있으면서도, 강성이 훨씬 강한 메탈을 적용했다.
특히, 견고한 디자인으로 슬롯의 정확도가 높아 완성도 높은 교정치료가 가능한 것이 가장 큰 특징이다.
술자의 편의성을 고려해 Cap은 전용 오프너로 쉽게 사용할 수 있도록 제작되었고, 낙타등과 같은 형상의 크로스레일 가이드를 설치, 기존 대부분의 자가결찰 브라켓이 가지고 있는 구조적 문제인 와이어가 슬롯 안으로 빨려 들어가는 현상을 원천 차단했다.
또한, 크기가 매우 작아(Low Profile Design(11번 치아기준 2.4mm)) 환자의 이물감 및 구강 내 상처를 최소화해 기능적인 측면에서는 세라믹에 비해 뛰어나다는 평이다.
마지막으로 장착의 안정감을 높이기 위해 접착력(본딩력)을 강화했다. 표면적이 넓은 그물 형태의 Mesh 베이스를 채택, 작은 브라켓으로도 치료가 끝날 때까지 탈락되지 않는다.
YES는 자가결찰 브라켓을 처음 사용하거나, 가격부담으로 인해 접해보지 못한 임상가들이 주목하는 제품으로 편리한 시술이 가능하다는 것이 장점이다. 특히, 국내 최초의 메탈 자가결찰 브라켓이라는 점에서 기존 수입제품이 차지하고 있는 시장을 국산으로 대체하고 있는 일등공신으로 평가 받고 있다.

<임상- 上 WOW Advanced, 下 YES>
오스템 관계자는 “자가결찰교정은 고무링이나 와이어를 묶는 과정이 없기 때문에 체어타임이 기존에 비해 단축되고, 환자의 내원 횟수 감소, 짧은 교정기간으로 인해 의사, 환자 모두 만족하는 치료방법이다. 합리적 가격의 국산 자가결찰 브라켓의 인기가 계속 높아질 것"으로 전망했다.
또한 “오스템의 두 제품 모두 성능과 사용자 편의성, 가격경쟁력 등이 이미 검증된 제품으로 출시 이후 꾸준히 사랑 받고 있다”고 전했다.
(문의: 휴비트㈜ - 080-318-2822)